만 42세 전체 임플란트 증례 > 임플란트

본문 바로가기

임플란트

만 42세 전체 임플란트 증례

페이지 정보

profile_image
작성자 이턱이
댓글 0건 조회 26회 작성일 26-01-23 12:56

본문

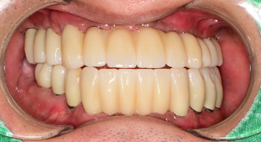
전체 임플란트 증례입니다.

18개의 임플란트로 완성하였습니다.

댓글목록

등록된 댓글이 없습니다.

본 글은 의료법 제 58조 1항에 따라 이턱퍼스트치과에서 의학적 지식을 공유하기 위해 작성되었습니다.
내원 환자분의 동의하에 공개된 것이며 모든 시술/수술은 부작용이 발생할 수 있음으로 의료진과 상담을 통해 정하셔야합니다.


이턱퍼스트치과 바로가기

회사명 : 이턱퍼스트치과 / 대표 : 장진현
주소 : 경기도 평택시 지제동삭2로 181-24 3층
사업자 등록번호 : 292-23-01382
전화 : 031-658-2288

Copyright © eteokfirst.com All rights reserved.