만 61세 전체 임플란트 증례
페이지 정보

본문
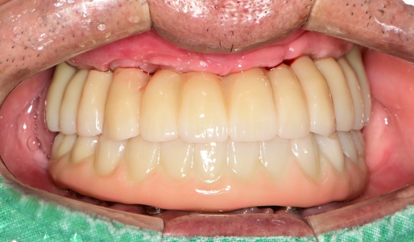
전체 임플란트 증례입니다.
(하악 풀아치-MUA 진행)
14개의 임플란트로 완성하였습니다.
(하악 풀아치-MUA 진행)
14개의 임플란트로 완성하였습니다.
- 이전글만 66세 전체 임플란트 증례 26.01.21
- 다음글만 55세 전체 임플란트 증례 26.01.21
댓글목록
등록된 댓글이 없습니다.
