만 65세 상,하악 전체 임플란트 증례
페이지 정보

본문
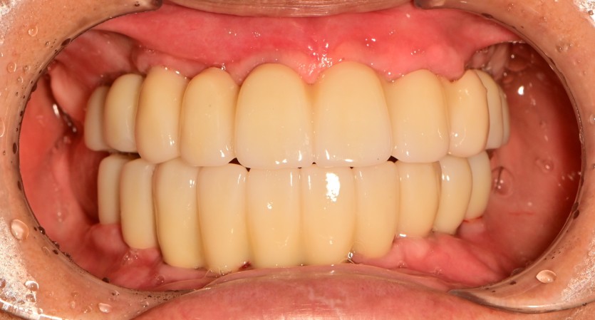
상,하악 전체 임플란트 증례입니다.
16개의 임플란트로 완성하였습니다.
16개의 임플란트로 완성하였습니다.
- 이전글만 61세 상,하악 전체 임플란트 증례 26.01.27
- 다음글만 68세 상악 전체 임플란트 / 하악 임플란트 증례 26.01.27
댓글목록
등록된 댓글이 없습니다.
