만 40세 상악 전체 임플란트 증례(하악 일부)
페이지 정보

본문
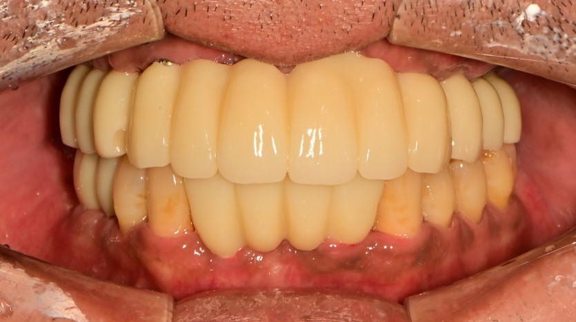
상악 전체 임플란트 증례입니다.(하악 일부)
14개의 임플란트로 완성하였습니다.
14개의 임플란트로 완성하였습니다.
- 이전글만 44세 상악 전체 임플란트 증례(하악 일부) 26.01.24
- 다음글만 47세 전체 임플란트 증례 26.01.24
댓글목록
등록된 댓글이 없습니다.
