본문 바로가기
팝업레이어 알림
팝업레이어 알림이 없습니다.
메인메뉴
전체메뉴열기
턱관절, 사랑니, 잇몸이식에 집중하는 이턱퍼스트치과입니다.
전체메뉴
메뉴 준비 중입니다.
임플란트
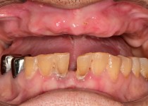
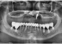
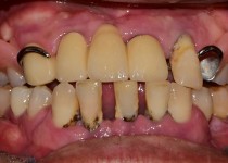
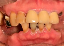
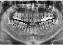
만 52세 전악 상악, 하악 전체 임플란트…
이턱이
02-11
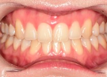
만 75세 상악 풀아치 증례
이턱이
02-09
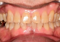
만 56세 상 하악 임플란트 증례
이턱이
02-06
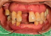
만 82세 하악 풀아치, 상악 임플란트(일…
이턱이
02-04
임플란트
더보기
사랑니
#18,28,38,48 사랑니 발치
N
새글
이턱이
18:00
#28,38,48 사랑니 발치
N
새글
이턱이
17:38
#48 사랑니 발치
N
새글
이턱이
17:34
#38 사랑니 발치
N
새글
이턱이
17:31
사랑니
더보기
임플란트 재수술
임플란트 재수술
이턱이
01-27
임플란트 재수술
이턱이
01-27
임플란트 재수술
이턱이
01-27
임플란트 재수술
이턱이
01-27
임플란트 재수술
더보기
잇몸이식
임플란트 잇몸이식 및 전정성형술
이턱이
01-28
잘못된 교정치료로 발생한 잇몸퇴축 잇몸이식
이턱이
01-15
잇몸이식
더보기
턱관절
턱이 빠진 경우
이턱이
01-26
개구제한 환자분
이턱이
01-22
턱관절 소리 호전케이스
이턱이
01-20
턱관절스플린트치료+인대강화주사
이턱이
01-20
턱관절
더보기
치아미백
스탠다드 미백(오스템 뷰티스)
이턱이
01-29
스탠다드 미백 (오스템 뷰티스)
이턱이
01-27
스탠다드 미백(오스템 뷰티스)
이턱이
01-27
스탠다드 미백(오스템 뷰티스)
이턱이
01-26
치아미백
더보기
섬유종/낭종 제거
혀의 섬유종 제거
이턱이
01-27
섬유종/낭종 제거
더보기
과잉치제거
매복 과잉치 제거 + 낭종 적출 + 치조골…
이턱이
01-27
과잉치제거
더보기
진료일정
2월 진료일정
이턱이
01-21
1월 진료일정
이턱이
01-16
진료일정
더보기
이턱퍼스트치과 바로가기
회사명 : 이턱퍼스트치과 / 대표 : 장진현
주소 : 경기도 평택시 지제동삭2로 181-24 3층
사업자 등록번호 : 292-23-01382
전화 : 031-658-2288
Copyright ©
eteokfirst.com
All rights reserved.
상단으로